Skip Menu
  • 1220 East US Highway 45,
  • Suite 200,
  • Vernon Hills, IL 60061
Patient Forms »

  • Home
  • About Us
    • Our Office
    • Meet the Team
    • Smile Gallery
    • Dental Videos
    • Reviews
    • Care to Share Reward Program
  • Meet Our Doctors
    • Michael Mora, DDS, FAGD
    • Cheryl Mora, DDS, MAGD, LLSR
    • Cassie Mora, DMD
    • Mark Gargiulo, DDS
  • Services
      • Check-ups, X-Rays & Dental Cleanings
      • Cosmetic Dentistry
      • Crowns
      • Dental Bridges
      • Dental Fillings
      • Dentures
      • Emergency Treatment
      • Extractions
      • Implant Dentistry
      • Invisalign®
      • Oral Cancer Screening
      • Pediatric Dentistry
      • Periodontal Treatment
      • Root Canals
      • Teeth Whitening
      • TMJ Disorders
      • Veneers
    • View All
  • Dental Health
  • Contact
    • Contact Us
    • Request Appointment

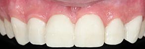
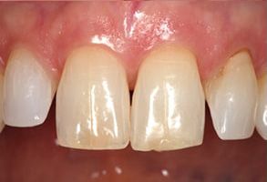
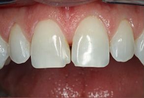
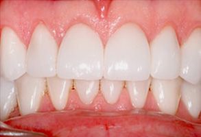
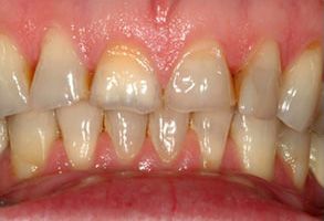
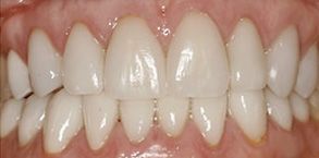
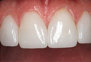
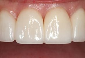
Smile Gallery

Additional Information

Our Location

1220 East US Highway 45
Suite 200
Vernon Hills, IL 60061
Office: (847) 268-2238
Emergency: (847) 268-2238

Follow Us